- Perché alcune persone presentano recessioni gengivali ed altre no?
- Quale è il collegamento fra colletti dentali esposti e recessioni gengivali?
- Quali sono le cause della recessione gengivale?
- Quali sono i sintomi delle recessioni gengivali?
- L’importanza della diagnosi precoce
Immagina di essere in una calda giornata estiva. Decidi di concederti un gelato rinfrescante, il tuo gusto preferito. Ma appena il cucchiaio tocca i tuoi denti, senti una fitta dolorosa, un fastidio che ti fa sussultare. Questo è un segnale che i tuoi colletti dentali potrebbero aver bisogno di attenzione.
Perché alcune persone presentano recessioni gengivali ed altre no?
Se la recessione gengivale è molto evidente significa che ho probabilità di perdere il dente?
Quale è il collegamento fra colletti dentali esposti e recessioni gengivali?
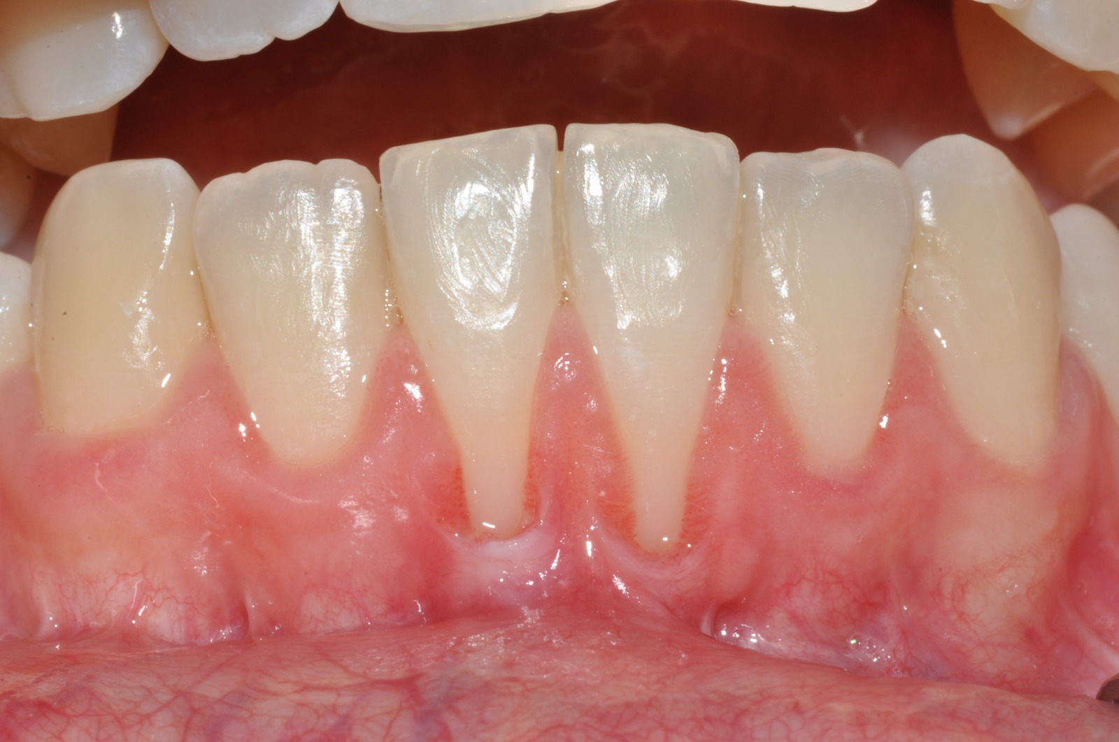
I colletti dentali scoperti e l’esposizione delle radici dei denti sono una conseguenza della recessione gengivale, che è quel fenomeno che si registra ogni qualvolta il tessuto gengivale migra dalla sua posizione fisiologica in direzione apicale, quindi verso la radice del dente; la recessione gengivale può essere di varia entità, e portare a conseguenze e fastidi più o meno gravi, quali sensibilità aumentata, maggior rischio di sviluppare carie nelle porzioni di dente scoperte in conseguenza alla recessione gengivale, oltre che alterazioni di tipo estetico.
È una problematica molto diffusa; infatti, circa il 50% dei pazienti tra i 18 e i 60 anni manifesta almeno una recessione gengivale, ed al di sopra dei 60 anni l’incidenza può arrivare fino all’88%; inoltre è più comune in quei pazienti che presentano tessuti gengivali sottili.

Quali sono le cause della recessione gengivale?
Le cause della recessione gengivale possono essere varie, e possiamo suddividerle in due categorie: cause infiammatorie e cause traumatiche.
Tra le cause infiammatorie troviamo le recessioni gengivali dovute a malattia parodontale, anche detta parodontite. In questo caso si ha l’esposizione dei colletti dentali come conseguenza della retrazione delle gengive in seguito ad una risposta difensiva dell’organismo; infatti, il margine della gengiva tende ad allontanarsi ed a ritirarsi a causa dell’accumulo di batteri a livello dei denti e del solco gengivale.
Tra le recessioni gengivali per cause traumatiche troviamo:
- quelle che si riscontrano a causa di spazzolamento errato, con movimento in orizzontale dello spazzolino o per l’utilizzo spazzolini con setole dure o per un uso eccessivo di forza durante le manovre di spazzolamento.
- In alcuni casi, sono causate da malocclusioni o malposizionamenti dentali, che possono esercitare una pressione anomala sui tessuti; se soffri di Bruxismo e di conseguenza digrigni i denti, potresti non solo causare microfratture nello smalto, ma anche spostare le gengive, determinando la comparsa di recessioni gengivali ed esponendo quindi i colletti dentali.
- Acidi nella Dieta: Bevande gassate, succhi di frutta e cibi acidi possono erodere lo smalto, esponendo i colletti dentali.
- Un’altra causa di recessione gengivale per fattori traumatici può essere la presenza di piercing a livello di labbra o lingua, che possono andare a traumatizzare i denti ed i tessuti di sostegno circostanti, anche in conseguenza allo stimolo esercitato su di essi causato dalla frequente abitudine a giocare e mordicchiare i gioielli presenti.
Quali sono i sintomi delle recessioni gengivali?
- Sensibilità dentale, specialmente con stimoli caldi, freddi o dolci
- La sensibilità dentinale è quella sensazione di dolore o fastidio acuto che si prova quando i denti entrano in contatto con cibi o bevande calde, fredde, dolci o acide. Questo accade quando la dentina, la parte interna del dente che si trova sotto lo smalto e il cemento, viene esposta. La dentina contiene piccoli tubuli che conducono direttamente ai nervi del dente. Quando la dentina è scoperta, questi tubuli possono trasmettere stimoli esterni direttamente al nervo, causando quel dolore pungente che molti di noi conoscono fin troppo bene.
- Denti scoperti o allungati, a causa di una maggior porzione di dente esposta, e quindi alterazione estetiche della bocca
- Hai notato che alcuni dei tuoi denti sembrano più lunghi rispetto a qualche anno fa? Questa sensazione di "denti allungati" non è solo un'impressione, ma un segnale che le tue gengive potrebbero essersi ritirate, esponendo una maggiore porzione di dente. Questo fenomeno non solo può causare sensibilità dentinale, ma può anche alterare l'aspetto estetico della tua bocca. Un sorriso in cui i denti sembrano eccessivamente lunghi può influire sulla fiducia in sé stessi, rendendo alcune persone più riluttanti a sorridere apertamente. Prendersi cura dei denti è fondamentale non solo per la salute dei denti, ma anche per mantenere un sorriso armonioso e piacevole.
- Presenza di spazi vuoti tra i denti e giunzione amelo-cementizia visibile (la linea che delimita la fine della corona del dente ricoperta da smalto e l’inizio della radice dello stesso ricoperta invece da cemento radicolare)
- È possibile che abbiate notato che di recente la giunzione amelo-cementizia è visibile (la linea che delimita la fine della corona del dente ricoperta da smalto e l’inizio della radice dello stesso ricoperta invece da cemento radicolare). Questo fenomeno è un segno normalmente di recensione gengivale, perché questa zona del dente in condizioni di salute risulta essere coperta dal margine gengivale.
- Aumento della suscettibilità allo sviluppo di carie radicolari
- Questa condizione, nota come carie radicolare, si verifica quando la radice del dente, solitamente protetta dalla gengiva e priva dello strato di smalto che copre la corona, viene attaccata dai batteri. A differenza dello smalto, che è il tessuto più duro del corpo umano, la radice del dente è ricoperta solo da uno strato più morbido chiamato cemento, molto meno resistente all'azione corrosiva degli acidi prodotti dai batteri. Questo rende la radice esposta in conseguenza alle recessioni gengivali particolarmente vulnerabile alla formazione di carie, che possono progredire rapidamente e portare a problemi più seri come infezioni o perdita del dente.

L’importanza della diagnosi precoce
È importante diagnosticare precocemente ogni migrazione del margine gengivale e comparsa di recessione gengivale, con conseguente esposizione dei colletti dentali, per poter intercettare le cause che stanno determinando tale variazione e poter intervenire in maniera mirata.
A tale proposito lo specialista deve valutare la presenza o meno di infiammazione gengivale o parodontite, per poter intervenire in maniera specifica al fine di stabilizzare l’infiammazione ed arrestare la perdita di supporto intorno ai denti, e di conseguenza la progressione della recessione gengivale, e non arrivare a perdere i denti, mediante un piano di trattamento adeguato volto a rimuovere i batteri che determinano la retrazione del margine gengivale.
Inoltre, per prevenire la comparsa di recessioni gengivali, o la loro progressione è fondamentale attuare delle corrette manovre di igiene orale, mediante l’utilizzo di presidi corretti, così da non traumatizzare i tessuti; è consigliato perciò l’utilizzo di spazzolini elettrici o con setole morbide, con un movimento verticale che vada dalla gengiva verso il dente.
In caso di presenza di ipersensibilità lo specialista può valutare l’applicazione di prodotti a base di fluoro o l’esecuzione di otturazioni estetiche, volte a coprire i colletti dentali esposti.
Si deve ricordare, inoltre, che le gengive non possono ricrescere da sole; pertanto, l’unico modo per ripristinare il margine gengivale è attraverso interventi di chirurgia parodontale. Tale opzione non è sempre necessaria, ma si può attuare in caso di esigenze estetiche o per ridurre l’ipersensibilità.
Nel caso in cui noti recessioni gengivali e colletti dentali esposti contattaci al nostro numero verde 800035425 oggi stesso. A Parocentro, attraverso il nostro protocollo Bioperio, andremo a valutare approfonditamente la situazione durante la nostra prima visita specialistica, con il fine di individuare il trattamento migliore e specifico per il tuo caso.
Se ti interessa approfondire l’argomento, puoi leggere di più a questo link.
La tua salute gengivale è la nostra priorità!
