Perché la Parodontite non si Chiama più Piorrea?
Perché la parodontite un tempo veniva chiamata "piorrea" e ora non più? Facciamo luce su questo aspetto...
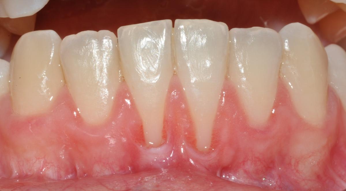
Cause e rimedi per le recessioni gengivali
Perché alcune persone presentano recessioni gengivali ed altre no? Quale è il collegamento fra colletti dentali esposti e recessioni gengivali? Quali sono le cause della recessione gengivale? Quali...
Colletto del dente: che cos’è e perché è importante proteggerlo?
Il colletto dentale è una zona delicata del dente che si trova al confine tra la corona, la parte visibile del dente, e la radice, ancorata all’osso attraverso i tessuti di supporto. Quando le gengive...
A volte trovo macchie di sangue sul cuscino, cosa significa?
Il sanguinamento delle gengive è un sintomo comune che non va sottovalutato, dato che potrebbe indicare problemi gengivali seri. Comprendere le cause, adottare misure preventive e conoscere le opzioni...
Impianti Dentali e la Prevenzione della Mucosite e la Peri-implantite
Gli impianti dentali rappresentano una soluzione efficace per la sostituzione dei denti mancanti, migliorando la funzionalità e l'estetica del sorriso. Tuttavia, come ogni trattamento medico, possono...
Impianti Dentali: Mucosite e Peri-implantite
Gli impianti dentali, sono delle radici artificiali in titanio su cui è caricata una corona protesica. Sono una valida soluzione per chi ha perso uno o più denti permettendo restauri non...
Parodontite Lieve vs Parodontite Grave: Differenze Chiave e Approcci di Trattamento
Sei preoccupata per la tua salute gengivale perché pensi di avere una Parodontite grave? Cerchiamo di dare qualche consiglio pratico per capire le differenze fra i vari tipi di Parodontite e quali...
Quali sono i sintomi della Parodontite?
La salute del cavo orale è un aspetto fondamentale del benessere generale di una persona, e la parodontite è una delle patologie che possono comprometterla. La parodontite è una malattia infiammatoria...
Infiammazione Gengivale in Gravidanza
Le variazioni ormonali, molto frequenti nelle donne, sono uno dei fattori che possono provocare alterazioni a livello del cavo orale ed infiammazione gengivale. Tali variazioni ormonali si possono...
Malattie Sistemiche e Salute Orale
Quale è il collegamento tra Malattie Sistemiche e Salute Orale? 1. Diabete 2. Malattie Cardiovascolari 3. Artrite Reumatoide Il metodo Bioperio L'importanza della salute orale per il tuo benessere...
Tasca gengivale e tasca parodontale, sono la stessa cosa?
Durante una visita potresti aver sentito il tuo odontoiatra o igienista dentale parlare dell'esistenza di una o più tasche 'parodontali', successivamente hai cercato su internet e hai trovato scritto...
Parodontite: A che età cadono i denti
Molto spesso capita che alcune persone ci chiedono a che età cadono i denti. E’ infatti ancora molto diffusa la credenza secondo la quale, passata una certa età, sia normale che cadano i denti, un po’...
